Крайне опасную болезнь сердца у пожилого мужчины удалось вылечить воронежским врачам
Читайте также:
- Конец строительства ливневки за 1,4 млрд рублей в Воронеже сдвинулся еще на год (16.12.2025 13:10)
- Девятилетний ребенок погиб, провалившись под лед в Воронежской области (16.12.2025 12:43)
- Инвестиции растут, производство падает – Воронежстат подводит экономические итоги года (16.12.2025 12:08)
В один момент его сердце остановилось
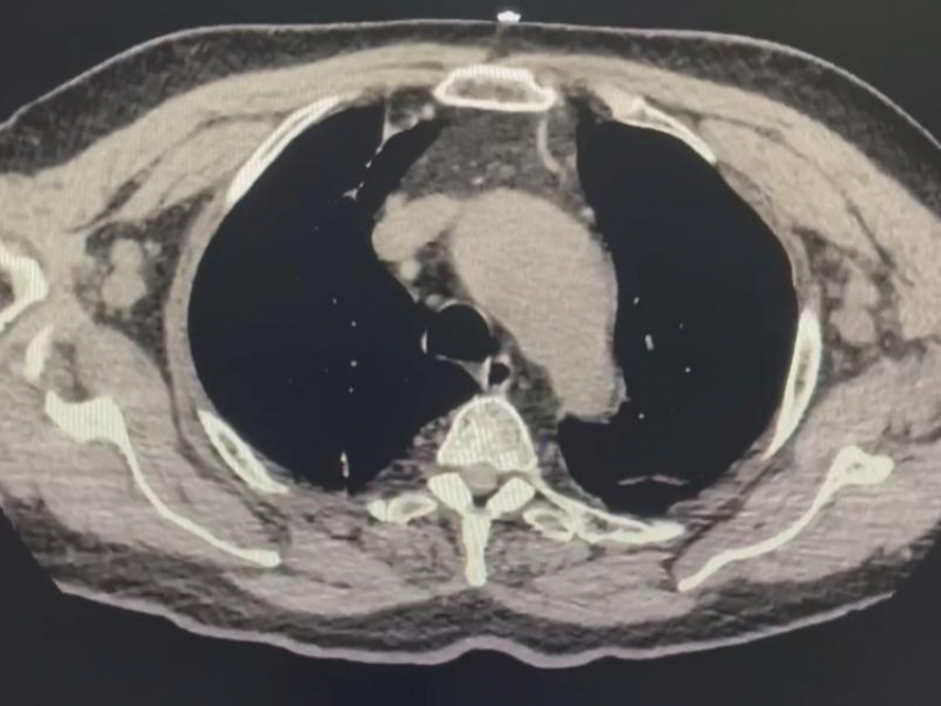
Воронежские врачи провели уникальную операцию, спасшую жизнь 75‑летнему пациенту с расслаивающейся аневризмой дуги аорты – заболеванием, способным привести к мгновенному разрыву сосуда и смерти. Об этом рассказали в министерстве здравоохранения Воронежской области.
Мужчина поступил в БСМП №1 с болями в груди, одышкой и пониженным давлением. После обследований у него выявили экссудативный перикардит и расширение аорты. Позже состояние резко ухудшилось – произошла остановка сердца и дыхания. Кардиологи и реаниматологи провели успешную реанимацию, а затем с коллегами из ВОКБ №1 приняли решение о срочной операции.
В областной больнице пациенту заменили поражённый участок аорты и восстановили работу аортального клапана. Во время семичасового вмешательства врачи использовали аппарат искусственного кровообращения и методы гипотермии для защиты мозга и органов при временной остановке кровотока.
После операции мужчина прошёл реабилитацию и сейчас чувствует себя удовлетворительно. Примечательно, что в 1990 году этому же пациенту в ВОКБ №1 уже спасали ногу при хронической ишемии – тогда врачи пересадили кожно‑мышечный лоскут из спины на голень.
Также в минздраве Воронежской области показали кадры компьютерной томографии, на которых видно, что в аорте пациента находится жидкость.
Николай Вазянов
«Блокнот Воронеж» теперь в MAX! Подписывайтесь на наш канал.
Новости на Блoкнoт-Воронеж